視聽教室

柴犬是一種讓人又愛又恨的犬種,平常萌萌的,但機車起來又很機車,一起來分享你家柴犬吧。開箱各式各樣的柴犬適合的好處,讓柴犬大學這個大家庭可以更多采多姿。

[相簿]阿仔。的缺憾(原發表者:朱元宏)

柴大機器人 於 2012-10-25 17:10:00 發布

57690
柴大機器人
分享商品:
新聞來源:




三個多月前,阿仔小時候的模樣似乎是很久以前的事了,
七月中,他剛到我們家,
他小時候剛到家時,後腿常常這樣開開直直的站著,
在這個階段的小狗,剛學會站沒多久,這樣站似乎是很正常的。




八月初,阿仔天真無邪的長大著,
後腿走路姿勢有拍到照片的大概是這樣,
胖嘟嘟的小屁股很可愛,雖然站定時常常開開的,但腿也還算直,




八月底,隨著腿漸漸較併攏,後腿的腳掌卻常常這樣往旁邊開,
開始有了外八的情況,這時大家看到都說,小時候常這樣,
漸漸長大就會自己調整腿的角度了。
獸醫也說他走路步伐是有力量的,不用擔心。






接近九月中旬,將滿三個月的阿仔,隨著身高拉高,體型拉長,
後腿膝蓋以下的外八角度有越來越明顯的感覺,






九月底打完預防針後,隨著外出狗公園的機會增多,
越來越多人看到阿仔會問起後腿外八,心中越來越不放心.....










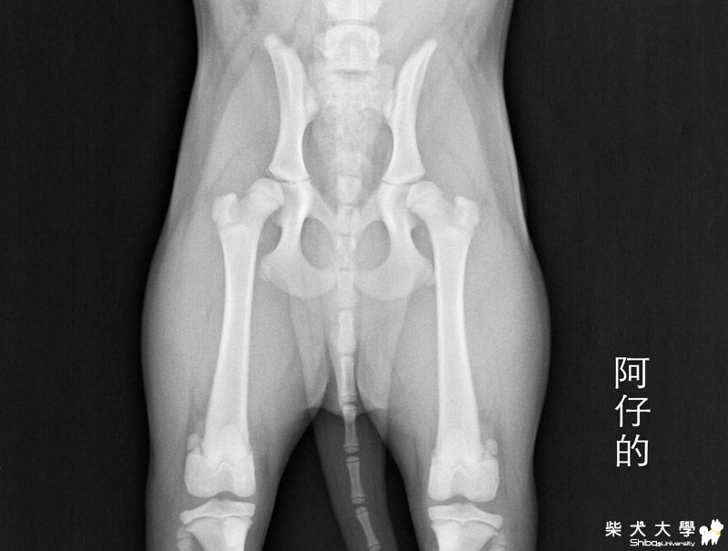
於是,找了一天,去台北犬髖關節最有名的醫院【美國愛屋】,
再觀察了阿仔的姿勢和後腿的觸診後,
醫生原本懷疑是膝關節或踝關節的生長板有單邊停止的可能,而影響了姿勢,
於是,建議拍攝膝及踝的x光片,
懷著忐忑的心等著,沒想到過了一陣子,醫生出來說,
因為阿仔還清醒的狀態下,突然發現髖關節有鬆動聲,
(通常輕度麻醉後才會發現鬆動,清醒時較不易)
於是覺得需要拍攝髖關節的照片做確認,於是心情就不斷下沈,
覺得大事不妙.....






拍攝的結果,膝和踝關節都正常,骨頭生長板也都正常,
但髖部的股骨頭和髖臼的密合度不佳,是鬆動的,包覆度不夠,角度也不夠,
但因為髖關節是要兩歲才能做判定的,
現在只能說是髖關節是有鬆動的現象,等六個月大後再追蹤,
如果情況沒改善,在有產生骨骼增生物(類似骨刺)的情況發生前,
在6-9個月之間可以考慮一個TOP的手術,這個手術加住院大約15萬....
聽到這倒抽了一口氣....


抱著沈重的心情,回到家後,幾天的時間反覆的討論,
雖然有少數很理性的朋友建議和犬舍換一隻之類的方式,
但阿仔麻和我,還是決定將阿仔留在身邊。


即使三個月的時間不算長,但這三個月的經歷,
像是濃縮了養一個小孩的十年。
從把屎把尿不知道你是誰開始,
從像是一個毛茸茸的一手能抓住的絨毛玩具般開始,
漸漸的,調皮,咬手,亂尿,咬紙,咬面紙,
不斷的制止,教導,鼓勵,生氣,開心....
然後漸漸的感覺到他知道我們是誰了,
講話會聽了,不再亂咬了,會服從你了,
你感覺到得到他的信任了。

這一切一切,濃縮在三個月中,
我們回想起來,常覺得,才三個月嗎?怎麼覺得好長呀?

每天和他的相處互動,眼神的互視,所得到的情感能量,
我們想像把他送回去後他的生活.....我們真的做不到。

更何況,因為遇到所以研究,因為研究才多了了解,
發現,髖關節發育上的問題,並不是那麼可怕的....
許多許多的狗狗,都因為生活管理及營養補充,
都沒有動過手術而不痛不拐能走能跑正常的過一輩子的。



我還帶著X光片去另一家也同樣權威的【名人醫院】,
問了許多問題,醫生也是建議先保守療法來照顧,希望我不要被手術這樣的可能性嚇到,
四個月的阿仔還是有各種可能性,我們提早知道有較鬆動的情況,是提早可以避免不當的運動來傷害或惡化。
(關於保守療法,比較質疑愛屋的是一開始並沒有先強調保守療法的方式和可能性,而是先講了TPO手術的可能性,但當作了許多功課再去問愛屋時,愛屋就補充了許多保守療法的說明,並強調,這些都只是可能性,還是要在兩歲前追蹤他的情況,才會可能遇到各種要考慮的狀況)


另外想說的是,如果只是手術費上的考慮,
試想,如果沒有天生髖關節問題的狗狗,
在三五歲時萬一不慎意外受傷(不管車禍或打架或運動等原因),
遇到了必須做人工關節的手術才能復原,
那會怎麼選擇呢?

另外,髖關節發育不全的認定必須是兩歲後,
兩歲前的鬆弛度都只是可能性的判讀,
所以,我們願意更注意小心他的生活管理,
執行保守療法改善他的鬆弛情況。
希望一切都會漸漸變好!!

保守療法並不用不動休養,相反的,
反而需要持續的適度運動,每天要足夠的散步,
這比關在家中只管吃飯喝水難吧?

保守療法要注意的只是要避免光滑的環境,
能常在泥土草地活動最好,
避免鼓勵他做競賽型的激烈運動(例如丟撿),
避免和其他狗狗用激烈或打架的方式玩耍(撲壓等等),
避免體重過重...等等

而這些,其實是更健康正確的飼養方式。
也是對任何狗狗都是好的生活方式。

這些都是因為遇到所以才了解,所以,阿仔,我們不怕!!







Ps. 犬舍部份的事宜已經處理完畢,犬舍釋出相當的善意,也提供了許多選項讓我們選擇。
畢竟這是很少很少遇到的情況。也謝謝犬舍的負責和同理心。


Ps. 阿仔未來一段時間內可能不會有撲來滾去追來跑去的有趣照片了供大家娛樂了,哈,
但仍會盡量帶他到處去玩去走走的。










影片:
 圖 片:
  • 遊客

    遊客請登入會員方可留言

  • 柴大機器人2012-11-01 13:23:39

    原發表者:wei_fen
    我覺得!
    我也好替你的阿仔高興喔!
    畢竟一定有很多人沒有像你一樣這麼有心
    你的愛心加上耐心一定可以讓他越來越快樂的
    狗狗就如同自已的小孩;相信這些日子來你也蠻擔心他的吧

    加油囉! ^^

  • 柴大機器人2012-10-30 20:06:52

    原發表者:pinky39


    他是我那個養哈士奇的老闆的哥哥
    之前是中興大學的外科總醫師~這個月自己出來開業了
    醫術好不好我沒辦法很明確的回答你~因為我只有看過這麼一個狗醫生 = ="
    X光片已經傳給他了~有消息我會馬上傳訊給你 ^^
    不用謝謝我~因為我也因此得到自己都沒想到的資訊
    都是額外的收穫!!!! ^^

  • 柴大機器人2012-10-30 18:56:33

    原發表者:朱元宏


    3Q啦~~

    :156:

    遇到了還是要面對,
    畢竟他不能挑主人,就像小孩不能挑父母一樣,
    既然選擇了他,就盡力對他負責囉!!

    希望漸漸會有好消息和大家報告~~



  • 柴大機器人2012-10-30 18:54:56

    原發表者:朱元宏


    記得....阿仔仔的醫生好像是妳的親戚是嗎?
    國光路...離我台中的老家好近....
    我台中家在大里益民路附近...

    如果妳有空可以也順便把阿仔的片子請阿仔仔的醫生看看嗎?
    如果有什麼建議或判斷,可短消息給我....

    :156:

  • 柴大機器人2012-10-30 18:29:38

    原發表者:天寶弟
    我ㄇ家狗狗小時候耶因為身體不適住ㄌ醫院好一陣子!所以你ㄉ心情我了解!加油嚕^^

  • 柴大機器人2012-10-30 17:48:01

    原發表者:pinky39




    我讀健康教育時怎麼都沒那麼認真?要不然就去當醫生了
    哈哈哈~這句話我笑了!!!
    因為我們前幾天也才在講這類似的話
    不知道現在認真讀書還來不來得及 XDDD

    你說的治療方式我可以問問看阿仔仔的醫生
    https://www.facebook.com/#!/PanPanVet
    只是說他剛開業不知道忙不忙就是了 :P

  • 柴大機器人2012-10-30 02:26:56

    原發表者:枯馬麻


    呵~~不是耶...我是位新手柴麻~~~KU MA現在快2個多~~~:90:

  • 柴大機器人2012-10-30 01:21:22

    原發表者:巧克力家
    加油喔!至少…先杜絕光滑的地面遊走…
    不要上下爬樓梯…
    這樣子還可以維持的…
    印象中國外的柴友救援了台灣一隻因髖關節問題的幼幼白秋田…
    初期是跑一跑就蹲下去不走了…透過針炙、水療…
    目前是可跑可跳的喔!

  • 柴大機器人2012-10-29 17:37:37

    原發表者:朱元宏


    謝謝枯馬麻

    請問.....是新莊柴聚見過的 Kuma 嗎?

    如果不是,不好意思哩~~

    :171:

  • 柴大機器人2012-10-29 17:36:08

    原發表者:朱元宏


    謝謝小黑妹家!!!

    是呀是呀~~家家有本難念的經啦~~

    會的,只要時間可以,還是會盡量參加的~~
    我很喜歡看到很多柴犬一起的畫面~~看大家的柴犬都會看得很開心~~
    :116:

  • 載入更多留言...